Iniciaste sesión como:
filler@godaddy.com
Iniciaste sesión como:
filler@godaddy.com
We offer a profesional dental atención for the whole family, our DDS are certificated, with high ethics, we only use great quality dental materials, our clinic it's established 2003
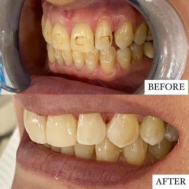
Clinical Case: Solving Esthetic Issues in the Anterior Region with Composite
Using 3M™ Filtek™ Universal Restorative.
the options to improve the esthetics and protect the remaining tooth structure.
Does Bonding look natural?
If you're wondering if tooth bonding looks natural, the answer is yes. The dental bonding material is specially formulated, and color matched to resemble the natural teeth. Most people won't realize you have a bonded tooth unless you decide to point it out.
Does bonding ruin your teeth?
Does Cosmetic Bonding Ruin Teeth? While cosmetic bonding is not permanent, it in no way ruins teeth. After a few years, the material may fade or become chipped, but that does not affect the natural enamel of your teeth itself.



Same Day – Implante y Provisional
Extracción, colocación de implante y provisionalización inmediata en una sola cita,
Paciente llegó a Wellness Dental Clinic tras presentar un diente lateral fracturado, sin posibilidad de rehabilitación, por lo que se tomó la decisión de realizar la extracción dental y la colocación del implante.
Se realizó una planeación protésica mente guiada y planeada digitalmente en su totalidad, se realizó en una sola sesión, se llevaron a cabo:
💙Extracción a traumática del diente comprometido
Colocación del implante
Colocación de corona prótesis temporal fija al implante ya colocado
Todo el procedimiento se completó el mismo día, logrando una sonrisa funcional y estética desde la primera cita.
Este tipo de tratamiento, conocido como Same Day Implant and Provisional, representa uno de los mayores retos en implantología.
Gracias a una correcta planificación, precisión y trabajo en equipo, el paciente pudo disfrutar de una nueva sonrisa sin interrupciones en su vida diaria.
Después de 3 meses de colocado el implante se se verificó la estabilidad del implante mediante ISQ con Osstell, obteniendo un valor de 82, lo que permitió proceder a la colocación de la corona definitiva de zirconia, caracterizada para replicar las manchas blanquecinas naturales del diente original, logrando un resultado completamente armonizado.
En Wellness Dental Clinic, estamos comprometidos con ofrecer tratamientos avanzados en implantología que devuelven la confianza, la función y la sonrisa de nuestros pacientes.







En Wellness Dental Clinic utilizamos tecnología de última generación para ofrecer restauraciones precisas, estéticas y duraderas. 🦷💙 Este procedimiento se realizó en un solo día, con una duración aproximada de dos horas. 🔹 Proceso realizado: 1. Preoperatoria – Evaluación inicial de la pieza. 2. Preparación – Eliminación de caries y conformación del diente. 3. Diseño digital en CEREC – Modelado personalizado de la incrustación. 4. Fresado – Fabricación de la restauración en cerámica de alta resistencia. 5. Prueba y ajuste – Revisión de puntos de contacto y adaptación. 6. Cementado – Colocación definitiva. 7. Pulido final – Integración estética y natural. 8. Resultado final – Función y estética recuperadas. Cada paso fue realizado bajo protocolos de precisión y seguridad, logrando un resultado completamente personalizado para nuestro paciente. ✨ 📲 Agenda tu valoración y descubre la experiencia Wellness. 📍 Independencia #1118 – Local 12, Piso 4, Zona Urbana Río Tijuana 📞 664 208 9300 | 📱 WhatsApp: 664 477 4313 🌐 wellnessdentalclinic.us 📧 wellnessdentalclinictj@gmail.com








Transformamos la sonrisa de nuestra paciente mediante una planeación digital avanzada, con colocación de implantes y dientes fijos en una sola cirugía. Actualmente se encuentra en fase de osteointegración, previo a la colocación de su prótesis definitiva de zirconia.







🦷 Full Arch Digital – Doble Arcada
Rehabilitación completa con implantes y dientes fijos en una sola cirugía, gracias a una planeación digital avanzada.
✅ Extracciones
✅ Implantes
✅ Prótesis fijas inmediatas
✨ Wellness Dental Clinic: tecnología, precisión y sonrisas que inspiran.







Tratamiento en tres etapas: injerto óseo, implantes y provisionalización inmediata.
Hoy la paciente ya disfruta una prótesis temporal fija y pronto recibirá su prótesis definitiva de zirconia.
Recuperamos función, estabilidad y confianza, incluso en casos con pérdida ósea.
💫 Full Arch, better life.







Rehabilitación fija y estética con planeación digital, injerto óseo y provisionalización inmediata.
La paciente hoy disfruta una sonrisa fija mientras avanza la osteointegración hacia su prótesis definitiva en zirconia.
✨ Full Arch, better life.








Para tu comodidad aceptamos estas formas de pago. / For your convenience we accept these forms of payment.

Do you need dental care under sedation? We have a certified anesthesiologist
Necesita cuidado o atención dental bajo sedación?
Contamos con médico anestesiologo certificado
Diagnóstico y tecnología avanzada, todo en un solo lugar
En Wellness Dental Clinic Tijuana, contamos con instalaciones equipadas con tecnología de última generación, donde realizamos tomografías y radiografías dentales sin necesidad de trasladarte a otras locaciones.
Todo al momento, el mismo día.
Comodidad, precisión y rapidez para tu tratamiento.
Diagnostics and advanced technology, all in one place
At Wellness Dental Clinic Tijuana, we have facilities equipped with state-of-the-art technology, where we perform dental CT scans and X-rays without the need to travel to other locations.
📷 All on the spot, on the same day.
Convenience, precision, and speed for your treatment.

Comunicate con nosotros para mayor informacion y asi saber si su aseguranza aplica y cuanto le cubre en el tratamiento.

se realiza la desinfeccion de todas las instalaciones de la clinica dental con niebla desinfectante BNC 15 / This is how the disinfection of all the facilities of the dental clinic is carried out with disinfectant mist BNC 15

SAN DIEGO RED
Estamos entre Las 10 clínicas dentales más seguras para visitar en tu atención dental
Español:
https://www.sandiegored.com/es/noticias/192402/Conoce-las-clinicas-dentales-mas-seguras-en-Tijuana
https://business.facebook.com/170569936296139/posts/3673170519369379/
Inglés:
https://www.sandiegored.com/en/news/192402/Meet-the-safest-dental-clinics-in-Tijuana?s
https://business.facebook.com/170569936296139/posts/3686105621409202/
muchas gracias.
¡Saludos!

Curso de primeros auxilios y Práctica de Resucitación cardiopulmonar , impartido por grupo Alfa .

Buscas alineadores invisibles? Somos oficialmente distribuidor autorizado, llamanos para tu primera cita 664 2089300 o desde USA 🇺🇸 1 (844) 279 9914 o mándanos un email a wellnessdentalclinictj@gmail.com
Looking for invisible aligners? We are an authorized distributor, call us for your first appointment 664 2089300 or from USA 🇺🇸 1 (844) 279 9914 or send us an email to wellnessdentalclinictj@gmail.com

Ahora podrás atenderte en Tomotec 3D, Wellness Dental Clinic y HS Dental & Ortodoncia, con la calidad, atención y tecnología que nos distinguen.
Tu bienestar es nuestra prioridad 💙🦷
Nos alegra recibirte y brindarte la mejor experiencia en cada visita.
📍Tijuana, B.C.
📧 pacientesaetna@gmail.com
Asi es como se realiza la desinfeccion de todas las instalaciones de la clinica dental con niebla desinfectante BNC 15 / This is how the disinfection of all the facilities of the dental clinic is carried out with disinfectant mist BNC 15
Usamos cookies para analizar el tráfico del sitio web y optimizar tu experiencia en el sitio. Al aceptar nuestro uso de cookies, tus datos se agruparán con los datos de todos los demás usuarios.