Iniciaste sesión como:
filler@godaddy.com
Iniciaste sesión como:
filler@godaddy.com

QUE ES UNA ENDODONCIA? La endodoncia es un procedimiento que permite salvar piezas dentales y que reduce los casos de extracción. Se trata de un procedimiento de limpieza del sistema de conductos radiculares en el que se eliminan bacterias y tejido necrótico para dejar el conducto lo más limpio posible.
Diagnóstico por parte del profesional sanitario: Durante la parte del diagnóstico se realiza una historia clínica o preguntas guiadas por el profesional, todo encaminado a hacer un buen diagnóstico y a aplicar el tratamiento correcto. Además, se realizan radiografías para verificar el estado del diente y para ver cómo es su anatomía.
Anestesia: La anestesia que se utiliza en este tipo de intervención es local aplicado solo al diente a tratar y a la zona de alrededor. Es importante que en el momento de la anestesia no exista ninguna infección o inflamación en la pieza para que ésta actúe de forma correcta. De existir infección, la intervención deberá posponerse y se recetará al paciente la toma de antibióticos y antiinflamatorios, en caso necesario.
Apertura: Se realiza una cavidad en la corona del diente previamete anestesiado mediante el cual se accede a la pulpa para su extracción.
Conductometría e instrumentación: Es el procedimiento de limpieza de los conductos para dejarlos asépticos o limpios.
Obturación: Es la fase de sellado del diente, a través del cual se cierran los conductos que se han limpiado, dejando la pieza plenamente insensibilizada.
Control: Una posterior radiografía y observación por parte del dentista para verificar la efectividad de la intervención. Generalmente se realiza un seguimiento durante unas semanas o meses.

QUE ES ORTODONCIA? La ortodoncia estudia, previene y corrige las alteraciones del desarrollo , con el fin de restablecer el equilibrio morfológico y funcional de la boca y de la cara, mejorando también la estética facial
Diagnóstico por parte del profesional sanitario: Durante la parte del diagnóstico se realiza una historia clínica o preguntas guiadas por el profesional, todo encaminado a hacer un buen diagnóstico y a aplicar el tratamiento correcto. Además, se realizan radiografías para verificar el estado del diente y para ver cómo es su anatomía.
Anestesia: La anestesia que se utiliza en este tipo de intervención es local aplicado solo al diente a tratar y a la zona de alrededor. Es importante que en el momento de la anestesia no exista ninguna infección o inflamación en la pieza para que ésta actúe de forma correcta. De existir infección, la intervención deberá posponerse y se recetará al paciente la toma de antibióticos y antiinflamatorios, en caso necesario.
Apertura: Se realiza una cavidad en la corona del diente previamete anestesiado mediante el cual se accede a la pulpa para su extracción.
Conductometría e instrumentación: Es el procedimiento de limpieza de los conductos para dejarlos asépticos o limpios.
Obturación: Es la fase de sellado del diente, a través del cual se cierran los conductos que se han limpiado, dejando la pieza plenamente insensibilizada.
Control: Una posterior radiografía y observación por parte del dentista para verificar la efectividad de la intervención. Generalmente se realiza un seguimiento durante unas semanas o meses.

Las resinas o empastes del color del diente, proporcionan una buena durabilidad y resistencia a la fractura en las pequeñas y medianas rellenos que deben soportar una presión moderada de la tensión constante de la masticación. Se pueden utilizar tanto sobre los dientes frontales o en las muelas. Son una buena opción para las personas que prefieren que sus empastes sean de aspecto más natural.
Se pueden utilizar en dientes dañados o cariados en las cuales el material que se utiliza es precisamente la resina. Ésta se trabaja al color del diente, por lo que el resultado es una restauración cosmética y agradable.

Consiste en eliminar las manchas externas de los dientes causadas por la acción del tabaco y los pigmentos contenidos en los alimentos y bebidas, especialmente si no se mantiene una higiene dental adecuada.
El tratamiento para el blanqueamiento dental se basa en el uso de los llamados agentes blanqueadores, presentes en el gel de aplicación a diferentes concentraciones. Estos geles actúan haciendo que el oxígeno penetre a través de los poros del esmalte y llegue a la dentina, provocando la descomposición de los compuestos orgánicos atrapados en ella en pequeñas partículas que reflejan mejor la luz y, como consecuencia, aclaran el color de los dientes.
El hecho de que estos agentes blanqueadores penetren en la dentina puede ocasionar un aumento de la sensibilidad al frío de los dientes en tanto dura el tratamiento.

Los dientes se extraen por diversas razones:
Caries avanzada profundamente en el diente.
Una infección ha destruido una porción importante del diente o el hueso que lo rodea.
En la boca no hay suficiente espacio para todos los dientes.
¿CÓMO SE EXTRAEN LOS DIENTES?
Antes de extraer un diente, el dentista estudiará cuidadosamente sus antecedentes médicos y odontológicos, y tomará las radiografías apropiadas.
El dentista dormirá la zona para reducir las incomodidades. Tras la extracción, le aconsejará sobre cuál es el régimen que debe seguir en cuanto a alimentos y cuidados post operatorios. En la mayoría de los casos, es normal sangrar un poco. El organismo se encarga de rellenar lentamente el hueso donde se encontraba la raíz del diente mediante la formación de un coágulo de sangre.

Los implantes dentales son una forma efectiva de reemplazar los dientes perdidos y están diseñados para disimularse entre los otros dientes. Son una excelente opción a largo plazo para restaurar su sonrisa.
Los implantes dentales están hechos de titanio y otros materiales que sean compatibles con el cuerpo humano. Son tornillos que se colocan quirúrgicamente en el maxilar superior o inferior, donde funcionan como un ancla firme para los dientes de reemplazo.
Si se encuentra en buen estado de salud este tratamiento puede ser una opción para usted. De hecho, su salud es un factor más que su edad. Es posible que tenga que recibir una evaluación con estudios de sangre antes de programar cualquier cirugía de implante.
Hoy en día contamos con cirugía guiada de manera digital, de ese forma sabemos en donde colocar el implante y que se requiere antes de iniciar la cirugía con un alto indice de exito al finalizar el tratamientos, esto no ayuda a mejorar los tiempos de tratamiento y la calidad a largo plazo.

El Full Arch es una técnica avanzada de rehabilitación completa que permite reemplazar todos los dientes de una o ambas arcadas mediante implantes dentales fijos.
Estos implantes están fabricados con titanio biocompatible, que se integra con el hueso y actúa como una base sólida para una nueva sonrisa fija y natural.
En este procedimiento se colocan varios implantes estratégicamente distribuidos en el maxilar o la mandíbula, sobre los cuales se adapta una prótesis fija que reemplaza todos los dientes perdidos.
Gracias a la planeación digital y la cirugía guiada, podemos colocar los implantes con máxima precisión, reduciendo el tiempo quirúrgico y logrando resultados inmediatos y predecibles.
El paciente sale el mismo día con una prótesis provisional fija, recuperando la función y la estética desde el primer momento. Posteriormente, una vez que los implantes se integran al hueso, se coloca la prótesis definitiva de zirconia, garantizando resistencia, estética y confort a largo plazo.

Es fundamental para prevenir infecciones de dientes y encías y es necesario realizarla de forma periódica, por lo general cada 6 o 12 meses, de esta forma eliminamos la placa bacteriana supra y sub gingival para así prevenir la caries y la enfermedad periodontal, eliminar las manchas de café y nicotina y mantener las encías sanas.
La principal ventaja de los sistemas de limpieza dental mediante ultrasonidos respecto a los procedimientos manuales se encuentra en que son capaces de acceder cómodamente los surcos periodontales de las encías, que con las herramientas de mano son más difíciles de alcanzar. Eso permite limitar la progresión de enfermedades de las encías en etapas muy primarias.
En cuanto a resultado estético también son la opción ideal, ya que los ultrasonidos de los dispositivos de calidad son capaces de eliminar pequeñas manchas del esmalte.

En los pacientes con problemas periodontales, la encía se retrae, dejando al descubierto parte de la raíz del diente. Una recesión gingival, en quienes tienen fundas o coronas de metal-cerámica, dejaba al descubierto la parte metálica, arruinando el aspecto de su sonrisa.
Las coronas de zirconio son totalmente cerámicas, por lo que desaparece el problema. Debido a esto, las restauraciones con zirconia son especialmente recomendables en el frente estético de los dientes: aquellas piezas que quedan a la vista cuando el paciente habla o sonríe.
Estética de zirconia
Además, las fundas, coronas, carillas… de zirconio son de un color similar al del esmalte. También dejan pasar cierta cantidad de luz a través de ellas, igual que los dientes naturales, y así no tienen el color “artificial” de muchas reconstrucciones con porcelana.
Cada corona de zirconio se diseña de forma individualizada con un software específico que se manufactura en máquinas especiales. Después, la corona admite tantos retoques por parte del protésico y el odontólogo como sean necesarios.

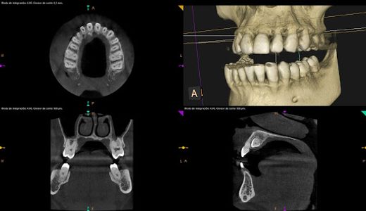
Es un examen dental con rayos X bidimensionales (2-D) que captura imágenes de la boca entera en una sola toma, incluyendo los dientes, las mandíbulas inferior y superior, y las estructuras y tejidos circundantes.

La tomografía computarizada es un procedimiento para diagnóstico con imágenes quedan mas precision que una radiografia panoramica
Usamos cookies para analizar el tráfico del sitio web y optimizar tu experiencia en el sitio. Al aceptar nuestro uso de cookies, tus datos se agruparán con los datos de todos los demás usuarios.